性别决定与分化是生命科学领域的热门命题之一。鱼类具有性别决定方式多样、性别分化过程可塑等特点,众多科学家以低等脊椎动物的硬骨鱼类作为实验材料,研究脊椎动物的性别决定与分化。通常,鱼类的性别决定与分化是遗传因素和环境因子协同作用的结果,其中,群体社会行为则是具有阶级属性的群居型鱼类的主要性别调控因子。迄今,有关社会行为与鱼类性别分化的关系研究多见于繁殖生态学方面的描述,至于细胞和分子水平的过程与机制研究鲜有报道。众所周知,??悖ㄋ壮菩〕笥悖┦巧汉鹘溉壕有陀憷嗟牡湫痛?,其性腺发育受群体社会等级的严格控制,是研究社会行为与性别分化关系的优良模型。此外,开展??阈员鸬骺鼗频难芯恳步K凵陀憷嘣鲅骋捣⒄固峁├砺垡谰?。
中国水产科学研究院黄海水产研究所渔业资源分子生态学团队与厦门大学鱼类生态与多样性?;ね哦雍献?,以??愦碇帧耸纤庥悖?em>Amphiprion clarkii)(俗称双带小丑鱼)为研究模型,解析了社会控制模式下海葵鱼性别决定与分化的分子调控机制。研究成果以“Transcriptome Profiling and Expression Localization of Key Sex-Related Genes in a Socially-Controlled Hermaphroditic Clownfish,Amphiprion clarkii”为题发表于国际学术期刊International Journal of Molecular Sciences。
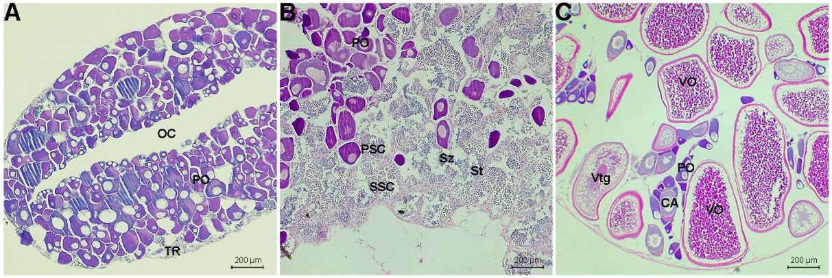
研究团队培育构建了具有稳定等级结构的??闵缁崛禾澹冉戏治隽宋捶只∟G)、雄性(MG)和雌性(FG)三种性别类型个体的性腺组织学特征和转录组表达谱差异,发现未分化个体与雄性个体的组织学特征和基因表达模式呈现出高度的相似性,而与雌性个体相差甚远,这与其性腺发育时序相一致,也体现了表型、基因型和功能的一致性(图1)。挖掘到数个参与??阈韵俜⒂暮蜓』?,确定了以cyp19a1a为核心的类固醇生成通路在卵巢发育和维持过程中发挥着重要作用,而Amh和sox8可能是调控精巢组织发育的潜在关键因子。通过荧光原位杂交技术对关键基因的表达定位分析,证明了dmrt1在??阒械谋泶锬J讲煌谄渌补怯憷啵赡茉诰埠吐殉沧橹脑缙诜⒂讨芯⒒右欢ù俳饔茫ㄍ?)。
该项研究不仅丰富了对海葵鱼性别分化信号通路的认识,也可为??闵车骺睾腿斯し庇际醯难蟹⑻峁┲匾慰?。


图1 未分化、雄性和雌性个体的性腺组织学结构及转录组表达谱特征


图2 性别发育候选基因筛选及表达定位分析
该项研究得到了国家现代农业产业技术体系(CARS-47)的资助,王焕博士为第一作者,岗位科学家柳淑芳研究员和厦门大学丁少雄教授为共同通讯作者。
相关成果及链接如下:
Wang, H.; Qu, M.; Tang, W.; Liu, S.*; Ding, S*. Transcriptome Profiling and Expression Localization of Key Sex-Related Genes in a Socially-Controlled Hermaphroditic Clownfish,Amphiprion clarkii. Int. J. Mol. Sci. 2022, 23, 9085.